
Our Stunning Smile Transformations
Explore our Smile Gallery to see the transformative results of our dental treatments at Lobay Dental Group. From cosmetic enhancements to restorative procedures like dental implants, crowns, and bridges, our team is dedicated to creating healthy, confident smiles. Let these before-and-after images inspire your journey to a brighter, more beautiful smile in Stony Plain, AB!
Cosmetic Dentistry
We enhance smiles by improving the appearance of teeth with natural-looking solutions. Our approach focuses on aesthetics and function, helping you achieve a brighter, more confident smile.
Porcelain Fixed Bridges
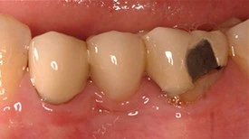
Before


3 Unit bridge with chipped porcelain molar (supporting metal showing on molar tooth), poor enamel color match to patient's natural teeth, and poor fit around the patient's gumline.
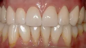
After


Replaced Bridge with an All Porcelain Bridge. The new bridge now also matches the patient's natural tooth color and was designed to properly fit around the gumline. Proper fit aids in decreasing decay and the ease of the patient's ability to clean around a bridge.
Porcelain Crowns (Caps)
Before

Patient needs Upper Arch Rehabilitation. Presents with Upper Anterior teeth that are stained, incisal edges (tooth edge) are worn down and chipped, and gumline recession is present.
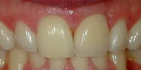
After

Smile restored with placement of 8 Upper All Porcelain Crowns (Caps). Gumline and incisal edges are now uniform. Patient now has longer, better shaped teeth to enhance the smile line and aid in chewing/biting function.
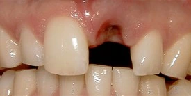
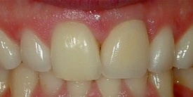
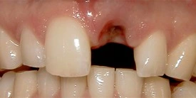
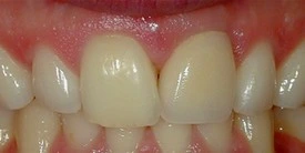
Before

Patient needs a Single Tooth Replacement of one Upper Central Incisor.
After

Smile and function restored with a Single Implant and an All Porcelain Crown (Cap) that fits securely over the implant.
Restorations
We restore damaged or missing teeth with natural-looking solutions that improve both function and aesthetics. Our treatments help enhance your smile while ensuring long-lasting durability and comfort.
Crowns (Caps)
Before

Patient needs a Single Tooth Replacement of one Upper Central Incisor.
After

Smile and function restored with a Single Implant and an All Porcelain Crown (Cap) that fits securely over the implant.
Dental Implants
Before

Patient needs a Single Tooth Replacement of one Upper Central Incisor.
After

Smile and function restored with a Single Implant and an All Porcelain Crown (Cap) that fits securely over the implant.
